马兜铃酸肾毒性机制研究取得新进展
马兜铃酸(AA)是马兜铃酸肾病(aristolochic acid nephropathy, AAN) 和巴尔干地方性肾病(Balkan endemic nephropathy, BEN)的致病原因,已经引起了国际上的高度重视。氧化和还原是AAI(AA的主要毒性成分)在不同物种体内快速清除必不可少的代谢过程。然而哪些酶参与AAI体内的氧化、还原代谢以及此代谢过程在AAI肾毒性中的作用尚不明确。上海药物所安评中心前期的研究工作表明肝脏CYP1A参与AAI的氧化代谢,此代谢过程使小鼠血液及肾脏中AAI的含量降低继而减轻AAI所致的肾毒性。该研究结果已在Kidney Int(2008,73:1231-1239)杂志上发表。
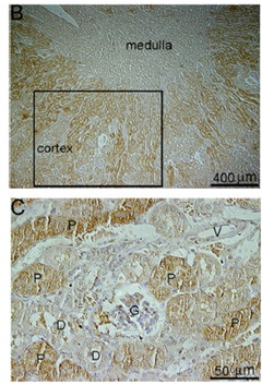
肾脏不仅是还原代谢AAI能力最强的器官,也是AAI毒性的靶器官。因此本中心在前期研究工作的基础上进一步探索了哪种酶参与肾脏AAI的还原代谢以及此代谢过程对AAI肾毒性的影响。结果显示NAD(P)H:醌氧化还原酶(NQO1)在肾脏具有较高的活性,且分布位置与AAI所致肾脏病变的部位一致。NQO1的抑制剂双香豆素、苯茚二酮均可抑制AAI在肾脏内的还原代谢,延缓AAI的血浆清除。虽然抑制剂处理后,小鼠血液和肾脏中AAI的含量明显升高,但其所致肾毒性却显著降低,表明NQO1参与AAI在肾脏内的还原代谢,且这一还原代谢过程可能是AAI诱发肾脏毒性的主要原因。此部分研究结果最近发表在毒理学领域颇具影响力的杂志“Toxicol Sci ”(Toxicol Sci. 2011 May 24. [Epub ahead of print])上。该结果为深入研究AAN机理提供了新的依据、为马兜铃酸肾病预防提供了新的线索,同时也为中药安全性研究提供了新的思路。

图1 NQO1主要分布在肾皮质近曲小管细胞内 图2 抑制剂双香豆素抑制AAI在肾脏内的还原代谢
(供稿部门:安评中心;供稿人:陈敏)
